![]() |
![]() |
![]() |
![]() |
| Before Surgery | After Surgery | Before Surgery | After Surgery |
![]() |
![]() |
![]() |
![]() |
| Neuroganic Bladder | MRI Spine< | Mr Urography | Kidney Damage On Nuclear Scan |
![]() |
![]() |
![]() |
|
| Cystoscopy | Augmentation Ileocystoplasty |
After Surgery |
![]() |
![]() |
![]() |
![]() |
| MRI | Meningomyelocele Operated |
Before Treatment | After treatment |
![]() |
![]() |
![]() |
![]() |
| Neuropathic Bladder | High PressureBladder Before Surgery |
Augmentation Ileocystoplasty |
Normal Pressure After Surgery |
![]() |
![]() |
![]() |
![]() |
| PUJ Obstruction In Newborn Before Surgery |
PUJ Obstruction In Newborn After-Surgery |
Delayed Excretion On DTPA Scan |
PUJ Obstruction |
![]() |
![]() |
![]() |
![]() |
| PUJ Obstruction Both Kidneys In Newborn |
Dilated Renal Pelvis | PUJ Obstruction In Newborn Before Surgery |
Upward Going Curve Of Left Kidney |
![]() |
![]() |
![]() |
![]() |
Before Endoscopic |
3 Months After Endoscopic Treatment | Before Valve Cutting | After Valve Cutting |
![]() |
![]() |
![]() |
![]() |
| Endo Urology Instruments | Before Surgery | After Surgery |
![]() |
![]() |
![]() |
![]() |
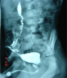
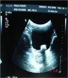
| X-ray Showing Stone In Urinary Bladder |
Ultrasound Of Stone In Bladder | Cystoscopic View Of Stone | Lithotripter |
![]() |
![]() |
![]() |
![]() |
| Endoscopic Removal Of Stone | Scarless Removal Of Stone |
Ultrasound After Stone Removal | X-ray After Stone Removal |
![]() |
![]() |
![]() |
![]() |
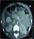
| Kidney Stone on CT Scan | Kidney Stone On Ultrasound |
ESWL(extracorporeal shock wave lithotripsy) |
Fragmented Stone |
![]() |
![]() |
![]() |
![]() |
| Stones In Both Kidneys | Breaking The Stone | Stone Cleared | After removal Stone |
![]() |
![]() |
![]() |
|
| Transected Kidney On CT Scan |
DJ Stenting | Ultrasound Showing Healed Kidney 6 Months Later |
![]() |
![]() |
![]() |
![]() |
| Ureterocele | Ureterocele Before Deroofing |
Cystoscopic Veiw Of Ureterocele |
Ureterocele After Deroofing |
![]() |
![]() |
![]() |
![]() |
| Bilateral Vesicoureteric Reflux | Cystoscopic View Of Open Vesicoureteric Junction |
Deflux Injection(STING) | Endoscopic Treatment(STING) |
![]() |
|||
| Postoperative MCU |
-----------------------------------------------------------------------------------------------------------------------------------------